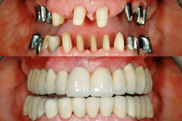
Dental implants provide a strong foundation for permanent or removable prosthesis (replacement teeth) that are made to match your natural teeth. They are manufactured from biologically neutral pure Titanium or titanium alloys, that is accepted by the human body and these implants fuse with the jawbone to form a secure foundation for tooth replacement. At Anbu Dental Clinic, We offer cheap and best implants with more success rates in Madurai city.
Types of Dental Implants
There are two basic types of implants available at our dental clinic. In certain cases, conventional or immediate implants
may be followed by immediate loading of crowns and bridges known as immediately loaded implants.
Basal Implants
Conventional Implants
Implant Restoration
Benefits of Dental Implants

Improved comfort relative to removable dentures

Prevent further loss of teeth and bone support

appearance. Improved oral health

Durability – Implants are very
durable and have expected life
for a long number of years
replacement for lost tooth

Improved self-esteem and increase quality of life

No need to trim the adjacent teeth
as in conventional bridge

Improves speech as compared to
having dentures

dentures or worrying about
your dentures popping out in
embarrassing situations




