Gum Care
a periodontist may be able to help.

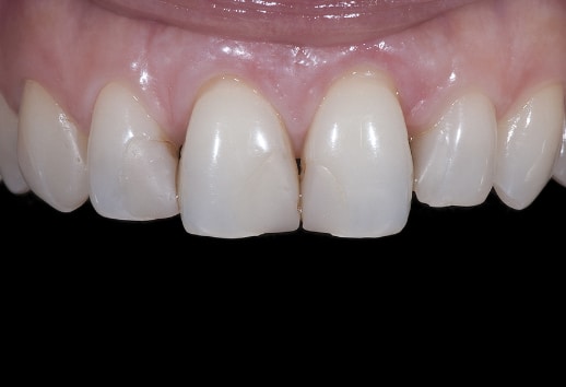
Gummy Smile or Uneven Gum Line
Do you feel your teeth look too short and your smile is too gummy or your gums cover too much of some teeth while leaving the others the right length? If so, dental crown lengthening might be the solution for you. During this procedure, excess gum tissue is removed to expose more of the crown of the tooth. Then your gum line is sculpted to give your new smile just the right look.

Exposed Roots
Sometimes gum recession causes the tooth root to become exposed, which makes your teeth look long and can make you look older than you are. This recession can happen as a result of a variety of causes, including periodontal diseases. Gum graft surgery and other root coverage procedures are designed to cover exposed roots, to reduce further gum recession and to protect vulnerable roots from decay. Ridge augmentation can fill in this defect recapturing the natural contour of the gums and jaw. A new tooth can then be created that is natural looking, easy to clean and beautiful.
Scaling and Deep Cleaning
Scaling : is the removal of plaque and calculus (tartar) from below the gum line.
Root: Planing removes any remaining calculus and smooths irregular areas of the root surface.
Maintaining good oral hygiene is the practice of keeping the mouth clean and healthy by brushing and flossing to prevent tooth
decay and gum disease. Professional dental cleaning at least twice a year can improve your oral health.
What are the Types of Cleaning
Simple Cleaning – Scaling
It includes the process of cleaning the teeth above the gum line followed by polishing. The purpose of the cleaning and polishing is basically to leave the surfaces of the teeth clean and smooth so that bacteria are unable to stick to them leading to gum disease.
Deep Cleaning – Root Planning
It includes the process of scaling and root planning and a conservative form of treatment for gum disease. To avoid discomfort, a local anaesthetic is used to numb the portion of your mouth that is being worked on. Deep cleaning treatment for gums is a non-surgical treatment and requires a full mouth x-ray (OPG) and pocket depth charting before starting procedure.
